義歯・入れ歯
Denture
義歯・入れ歯
Denture

歯を失ったときに、人工歯で補うための治療法です。1本でも歯が残っていれば部分入れ歯、1本も歯がないときは総入れ歯を適用します。
入れ歯には保険診療があり、費用を抑えて治療できる利点があります。しかし、保険診療の入れ歯は素材が限られており、噛むときに痛い・見た目が悪いなど、さまざまな影響を受ける可能性があります。現在お使いの入れ歯にお悩みでしたら、自費診療もご紹介できます。
入れ歯の種類
Types of dentures
金属床の総義歯(総入れ歯)
舌や上顎と当たる部分に金属を用いることで入れ歯を薄く作製できます。保険診療の総入れ歯よりしゃべりやすく、違和感も少なくなります。また、金属は熱伝導性が高いため、食事をしたときの温度感覚も優れています。そのほかにも、以下のような利点があります。
- 汚れがつきにくく清潔に保てる。
- 保険診療の入れ歯よりもお口に合った入れ歯を作製できる。
- 割れにくく変形もしにくい。
- セラミックなどによる良質な人工歯を使うので、よく噛み切れて歯の磨耗が少ない。


金属床の局部義歯(部分入れ歯)
保険診療の入れ歯だと「歯肉とぶつかって痛みが出る」「厚みが気になる」「歯にかかっているバネが目立つ」「残っている歯を入れ歯が揺さぶって負担をかける」などのリスクがあります。 金属床の部分入れ歯であれば、問題点を限りなく減らすことができます。
- 薄くできるため、違和感が少なく、お口の中が広く感じる。
- 精密かつ強固に装着できるため、痛みが少なく残っている歯に負担をかけない。
- セラミックなどの良質な人工歯を使うため、よく噛み切れて歯の磨耗が少ない。


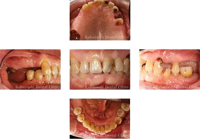
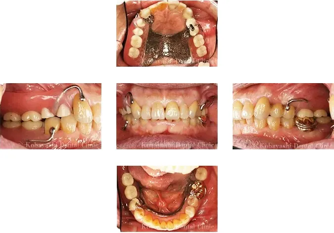
症例
治療前

虫歯によって奥歯を何本も失い、見た目にも影響が見られました。歯を喪失してから放置していたため、噛み合せも乱れていました。
治療後

前歯はセラミックで修復し、奥歯には金属床の部分入れ歯を装着しました。
薄く適度に密着した金属床は発音がスムーズで、外れる心配がなく食事を楽しめます。
歯冠外アタッチメント
被せ物にアタッチメント(金属の突起)を取りつけ、入れ歯を装着するときにパチンという音とともにしっかり固定するものです。アタッチメントが歯冠の外側に設置されているのが特徴です。この入れ歯のメリットは、歯質を削る量が少なくてすむという点にあります。また、アタッチメントの働きによって入れ歯が安定し、しっかり噛めます。バネを使わないため審美的にも目立ちにくくなります。


自費と保険の入れ歯の違い
Difference

両者の大きな違いのひとつが、治療にかかる費用です。自費診療の入れ歯は、保険診療に比べると費用が高くなります。しかし、自費診療の入れ歯は「薄く加工できて快適に装着できる」「しっかり噛める」「食事の冷温を感じられる」など、素材によってさまざまなメリットがあります。また、金属のバネを使わずに固定できる部分入れ歯もあり、口元の見た目が自然になります。
入れ歯治療の流れ
Flow
STEP
01
検査
まず、現在使用中の入れ歯がある方は、新しい入れ歯ができるまで快適にお過ごしできるように調整します。一方、新しい入れ歯を作るためにレントゲン撮影、歯肉や顎骨、歯の状態などの確認を行ないます。虫歯や歯周病がある方はそちらの治療を優先します。

STEP
02
治療計画の説明
検査結果を患者さまにお伝えし、立案した治療計画についても詳しくお話します。選択肢として考えられる治療方法、入れ歯の種類などをご紹介します。それぞれのメリットやデメリットをお話しますので、不明点がありましたら遠慮なくご質問ください。

STEP
03
治療スタート、入れ歯の作製
入れ歯を作製するために歯や歯肉の型取りなどを行ないます。また、仮の入れ歯を作製します。入れ歯を作る歯科技工所にさまざまな情報を共有し、精密な入れ歯を作れるよう密に連携を取ります。患者さまのご要望などもお伝えし、理想的な入れ歯に仕上げます。

STEP
04
入れ歯の完成
完成した入れ歯を装着していただきます。はめたとき、噛んだときなどに違和感がないかご確認いただき、より適合させるために微調整を行ないます。入れ歯がしっかりフィットしたら完成です。入れ歯のケアの方法や注意点などをお伝えします。

Q&A
入れ歯とよく比較されるブリッジとは何ですか?
ブリッジは、人工歯と被せ物が連結したものです。抜けた歯の両隣の歯に被せ物をセットし、人工歯を固定します。安定感は入れ歯より高いですが、固定源となる歯を大きく削らなければなりません。また、銀歯の場合は口元が目立ちます。
就寝時も入れ歯をつけたままで大丈夫ですか?
就寝時は入れ歯を外すようにしてください。誤飲のリスクがあるため、付けたまま眠るのは危険です。入れ歯を外しておくことで歯肉への負担を軽減する効果も期待できます。ただし、噛み合わせの状態によっては部分入れ歯を装着していただくケースもあります。
入れ歯を装着しているときの注意点はありますか?
ガムやおもちは入れ歯にくっついてしまうため、控えた方が良いでしょう。また、硬い食べ物も入れ歯が欠けてしまうおそれがあります。入れ歯が欠けるとお口の中を傷つけることがあります。もし、入れ歯にトラブルが起きた場合は小林歯科医院へご連絡ください。
抜けた歯をそのままにしておくのはいけないのでしょうか?
歯がない状態のままにすると、歯並びに隙間ができてしまい虫歯や歯周病のリスクが高くなります。また、噛むときに左右の顎で偏りが出て、顎骨が弱まります。このほか見た目が悪いままになるなど、健康面や審美面に大きな影響が出ます。
入れ歯ができたらすぐに噛めますか?
ある程度の慣れが必要になります。新しい入れ歯を装着したら、まずは積極的に使ってみて体になじむようにしていきましょう。もし入れ歯に不具合が見つかった場合は、歯科医院で調整します。この繰り返しによって、ご自身に合った入れ歯になっていきます。
お手入れ方法について教えてください。
食事をしたら入れ歯を外し、歯ブラシなどでやさしく磨いてください。洗うようなイメージで結構です。また、就寝時は入れ歯を外し、専用の洗浄剤などで洗っておくと良いでしょう。清潔に保つことで口内炎などが起きるのを予防できます。
外した入れ歯の保管方法はありますか?
お水に入れて保管してください。入れ歯の素材であるレジンは、乾燥すると変形するおそれがあります。入れ歯ケースなどにお水を張って、その中に入れておきましょう。部分入れ歯は金属の腐食を防ぐため、洗浄剤を使う場合は専用のものを使用してください。
メンテナンスは必要ですか?
患者さまの状態にもよりますが、およそ1ヵ月ごとにメンテナンスを受けることをおすすめします。歯肉や歯の変化を確認できるほか、入れ歯を調整することで、痛みなどが軽減して快適に使えるようになります。また、虫歯や歯周病の予防につながります。
入れ歯の裏側がよく汚れてしまいます。
食べかすが入れ歯の裏側についているようであれば、お口に合っていないかもしれません。入れ歯を長く使っていると、歯肉の変化やバネの変形などによって、食べかすが溜まりやすくなります。歯科医院で入れ歯を調整するほか、歯肉の状態などを調べる必要があります。
金属のバネが目立ってしまうのが気になります。
部分入れ歯に使われる金属のバネが気になる場合、自費診療の入れ歯をおすすめします。金属のバネを使わずに固定できるタイプがあるので、口元を気にすることなく会話やお食事を楽しめます。入れ歯の審美性を追求したい方は、お気軽にご相談ください。
料金表
Price
見出しが入ります見出しが入ります見出しが入ります
| 診療内容 | 料金 |
|---|---|
| 項目名項目名項目名項目名項目名 | 000,000円 |
項目名項目名項目名項目名項目名 詳細詳細詳細詳細詳細 | 000,000円〜 000,000円 |
※料金は全て税込表示です。
リスク・副作用
入れ歯の作製・使用にともなう一般的なリスク・副作用
- 内容によっては自費(保険適用外)となり、保険診療よりも高額になります。詳細は歯科医師にご確認ください。
- 入れ歯を固定するため、患者さまの同意を得てから残存歯を削ったり抜歯したりすることがあります。
- 使用直後は、口腔内になじむまで時間がかかることがあります。
- 事前に根管治療(神経の処置)や土台(コア)の処置が必要となることがあります。
- 入れ歯を装着していない時間が長いと、残存歯の傾きや損失、歯槽骨(歯を支える骨)の吸収などが起こることがあります。
- 咬合が変化したり、固定源である残存歯が削れたり抜けたりした場合は、入れ歯の調整・修理が必要になることがあります。
- 金属を使用する入れ歯では、金属アレルギーを発症することがあります。
- 使用方法などにより、破損することがあります。
- 定期的な検診・メンテナンスが必要です。
ブリッジの作製・使用にともなう一般的なリスク・副作用
- 内容によっては自費(保険適用外)となり、保険診療よりも高額になります。詳細は歯科医師にご確認ください。
- 失った歯の両隣の健康な歯を削る必要があります。
- 支えになる歯に負担がかかり、将来的にその歯を失う可能性が高くなります。
- 奥の場合は金属でしか対応できません。
- 連続して歯を失っている場合、治療できないことがあります。
- ブリッジと歯肉との間に食べ物のかすが詰まりやすいので、口の中の衛生状態を保つことが難しくなります。
- 顎骨の吸収を抑制できません。





