歯周病
Periodontal
歯周病とは
Periodontal
「口臭が強い」「歯肉の色が悪い」「食べ物が噛めない」「ある日突然歯が抜ける」
などの症状が見られる歯周病は、細菌感染によって発症します。
虫歯のように痛みをともなわず深く静かに進行する病気なので、治療にはじっくり時間をかけなければなりません。
虫歯であれば、悪いところを完全に取り除いて適切な処置を行ない、短時間での治療も可能です。
しかし、歯周病においては短時間で改善する症例は非常にまれです。
治療前

歯の周囲に歯垢と歯石が多量に付着し、歯肉が炎症を起こして歯も移動しています。
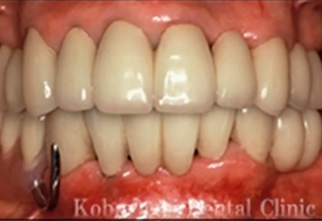
治療後

歯垢と歯石を除去して歯肉の炎症がなくなったあと、前歯にはポーセレン(陶材の白い歯)を被せています。
治療前

詰め物の状態の悪さに加えて多量の歯垢や歯石が付着し、虫歯と歯肉に強い炎症を起こしています。さらに、奥歯が抜けたままだったため噛み合わせが悪く、歯が移動しています。
治療後

徹底的に歯石を除去して歯磨き指導を行なった結果、歯周病が改善しました。セラミックの被せ物をセットし、できるだけ歯を抜かずに治療しています。奥歯の欠損は部分入れ歯を装着し、しっかり噛めるようになりました。
歯周治療の流れ
STEP
01
診査・診断
歯肉からの出血、歯周ポケットの深さ、歯根の分岐部病変、歯の動揺度について、特殊な器具を使って調べます。同時にエックス線写真を使い、歯槽骨(歯を支える骨)の状態を調べて歯周病の進行状況を診断します。

STEP
02
カウンセリング・インタビュー
診査で判明した状態について説明します。歯周病の正しい知識やメカニズムをお話しするほか、歯磨きにかける時間やタイミング、歯の磨き方などを伺います。より良い方法やテクニックをアドバイスさせていただき、改善に役立てます。
歯周病では、全身疾患や服用薬、喫煙などが関連していることが多くあります。生活習慣についてヒアリングし、食生活や生活習慣の見直しについてアドバイスすることがあります。
歯周病は、歯科医院にただ通っているだけでは完治しません。患者さま自身が治療に参加するという意識が重要です。各人に適したプラークコントロールの方法を身につけられるよう、歯科医師と衛生士が一丸となってサポートします。
STEP
03
スケーリング・ルートプレーニング
毎日の歯磨きや生活習慣の改善を目指すホームケアを定着させつつ、歯科医院で受けるプロケアを開始します。プロケアは、歯肉縁上縁下の歯石除去、バイオフィルムを破壊するためのスケーリング・ルートプレーニングがメインになります。
ホームケアとプロケアは歯周病治療の最も重要なステップであり、患者さまご自身によるホームケアが確立すると、早い段階で歯肉の炎症改善が見られます。それによってプロケアの効果も表れやすくなります。
STEP
04
再評価
上記までのステップを行ない、どれくらい歯周組織が改善されたか再検査します。または個々に設定したゴールに到達していれば、メンテナンスに移行します。改善されてない場合は、部分的に再度クリーニングを行なうか、歯周外科処置を検討します。
ほとんどの場合、診査・診断の段階で外科処置が必要な部位を予測できますが、どのように歯周組織が改善するかはカウンセリングやスケーリング・ルートプレーニングの結果次第になります。そのため、この再評価によって最終的に外科処置を行なうべきか診断します。
STEP
05
歯周外科・再生療法
歯周ポケットが深く狭いところや複雑な歯根形態の部分は、歯垢や歯石などの汚染物質を完全に除去できる確率が下がります。残ったままにすると再発のリスクが高くなるので、可能であれば歯周外科や再生療法に移行します。
こうしたケースでは歯槽骨が破壊されているので、再生療法の実施をおすすめすることがあります。現在ではGTR法やエムドゲインなど、失った顎骨や歯根膜を再生させる治療が確立しています。状況に応じて最適な方法を選択し、治療内容について説明します。
STEP
06
メンテナンス・SPT
(サポーティブ・ペリオドンタル・セラピー)再評価または歯周外科・再生療法の処置後は、改善した歯周組織の状態を長く維持していくため、定期的にプロフェッショナルクリーニングを受けていただきます。これはスケーリングのような処置ではなく、現状を維持するためのソフトなクリーニングになります。ご来院の間隔は1~6ヵ月ごとです。感染症である歯周病にかかると、状態が良くなったとしても再発のリスクが非常に高いとされています。そのため、治療後も検診を受けることをおすすめしています。小林歯科医院には、長年メンテナンスやSPTを受けるために来院されている患者さまが多く、良好な状態を保っています。
メンテナンスについては、専門的なトレーニングを受けた歯科衛生士が担当制であたっています。わからないことやお悩みがありましたら、何でもご相談ください。
リグロスとは?
Regroth

歯周病によってダメージを受けた歯周組織を再生できる薬剤です。大阪大学歯周病学教室によって開発されたリグロスは、臨床の現場において広く活用されています。リグロスによって顎骨などの歯周組織が再生できると、歯周病によって歯が抜けてしまうのを防ぎます。
組織の再生を促進
リグロスは「bFGF」というたんぱく質を主成分とした薬剤で、「トラフェルミン」ともよばれています。筋肉や骨の細胞が増殖するのを促進し、組織を成長させます。歯周病などにより痩せてしまった歯肉や顎骨などの組織にも効果があり、血管を新たに作って再生を促します。
抜歯を回避する可能性も
歯周病によって破壊された顎骨に、リグロスを直接塗布します。それによって失われた顎骨が再生し、再び歯を支えられるように改善されます。リグロスの働きによって抜歯を回避できる可能性が高くなり、ご自身の大切な歯を残せるようになります。
歯周病の進行をストップ
歯周病によって組織がダメージを受けると、歯が揺れるようになります。すると顎骨に負担がかかり、歯周病がさらに進行してしまいます。リグロスはこうした症状にも効果があり、歯の揺れを抑制できます。歯周病がある程度進んでしまっている場合も、進行を止められます。
歯周病による痛みや不快感も軽減
歯が揺れている状態が続いていると、痛みや不快感を覚えるようになります。それによって食べ物がしっかり噛めず、食生活にも影響を及ぼします。リグロスによって歯の揺れを抑えると歯周病の進行を止められるだけでなく、こうした痛みなどの症状も軽減できます。
エムドゲインとは?
Emdogain

歯周病によって破壊された歯周組織を再生させる治療法の1つが、エムドゲインです。これまで、歯周病によって失われた歯周組織の再生は難しいものとされ、感染の原因である物質を除去する治療に留まっていましたが、エムドゲインによってより良い治療が可能になりました。
エムドゲインのメリット
エムドゲインゲルという薬剤には、グロスインファクター(成長因子)が含有されています。それによって顎骨や歯根膜といった組織の再生・増強が促進され、歯肉を引き締めて口元の見た目を改善します。また、引き締まった歯肉が下がりにくくなります。
エムドゲインゲルの効果と安全性
エナメル基質たんぱく質を含むエムドゲインゲルにより、歯周病によって破壊された歯周組織の再生を促します。エムドゲインゲルは全世界で100万症例以上も使用されており、安全性の高い生体材料です。日本でも厚生労働省の認可を受けています。
症例集
Case
治療前

長年、歯のクリーニングは受けていたとのことで、表面的に歯石はあまりみられませんが、かなり歯周ポケットが深く重度の歯周病で、歯並びが乱れていました。
治療後

徹底的なクリーニングに加え、再生療法にて失った歯周組織を改善させ、ぐらぐらだった歯にセラミックを被せて、歯を抜かずに治すことができました。現在も、定期的にメンテナンスを行なっています。
リスク・副作用
歯周病治療/歯周組織再生治療/歯周外科治療にともなう一般的なリスク・副作用
- 内容によっては自費(保険適用外)となり、保険診療よりも高額になります。詳細は歯科医師にご確認ください。
- 歯周病の進行状況によりますが、歯垢や歯石の除去時に痛みを感じることがあります。
- 治療に対して患者さまが協力的でない場合は、改善に歯周外科治療や歯周組織再生療法が必要になることがあります。その場合、歯肉を切開するため腫れや痛みをともなうことがあります。
- 治療後歯肉が下がることがあります。
- 治療によって歯肉が引き締まってくるため、被せ物と歯肉の段差とが目立つことがあります。
スケーリング/ルートプレーニングにともなう一般的なリスク・副作用
- 基本的には保険での診療となりますが、治療内容によっては自費(保険適用外)となることもあり、保険診療よりも高額になります。
- ルートプレーニングは、歯肉の中に器具を入れるため通常の歯石除去よりも痛みを感じることがあります。
- 歯のすき間に付着していた歯石が除去されることで、歯のすき間が目立つことがあります。
- 処置後、歯肉から出血することがありますが、時間の経過とともに治癒します。
- 処置後1~2日、何もしなくても痛みが出ることがあります。また噛んだときや歯を磨くときも痛みが出ることがありますが、時間の経過とともに治癒します。
- 処置後、しばらく知覚過敏の症状が出ることがありますが、時間の経過とともに治癒します。
- 処置後、歯肉の退縮を引き起こすことがあります。
リグロスを用いた治療にともなう一般的なリスク・副作用
- 薬機法(医薬品医療機器等法)において承認された医薬品です。歯周ポケットの深さが4mm以上、 骨欠損の深さが3mm以上の垂直性骨欠損のある場合に使用します。
- 基本的に保険診療ですが、自費(保険適用外)の治療法と併用すると保険診療ではなくなるため、高額になります。自費診療でリグロスを使用する場合、診療内容により異なりますが、一般的に5~10万円ほどになります。詳細は歯科医師にご確認ください。
- カウンセリングからメンテナンスまでの治療期間は3~6ヵ月ほど、治療回数は3~8回ほどとなります。
- 全ての部位に適用できるわけではありません。
- 歯周組織が再生するまで半年から1年ほどかかります。
- インプラント埋入治療に関する有効性および安全性は確立していません。
- 再生作用が強く、正常な細胞と同時にがん細胞も活性化させることがあるため、がんの方への使用は適しません。
エムドゲインゲルを用いた治療にともなう一般的なリスク・副作用
- 薬機法(医薬品医療機器等法)において承認された医薬品です。中等度または重度の歯周炎の歯周外科手術の際に、露出された歯根面上に補助的に局所適用します。
- 自費(保険適用外)での診療となり、保険診療よりも高額になります。診療内容により異なりますが、一般的に5~15万円ほどになります。詳細は歯科医師にご確認ください。
- カウンセリングからメンテナンスまでの治療期間は6ヵ月~1年ほど、治療回数は3~10回ほどとなります。
- 歯や骨の状態や位置によっては、手術できないことがあります。
- 外科手術が必要なため、腫れや痛みをともなうことがあります。
- 外科手術が必要なため出血、神経麻痺、血管損傷、術後の腫れやあざを発症する可能性があります。
- 歯肉が引き締まってくるため、被せ物と歯肉との段差が目立つことがあります。
- 糖尿病、心筋梗塞、脳梗塞などが進んでいる方、がんによる放射線治療を受けている方、ステロイド剤を使った治療を受けている方、妊婦や授乳中の方などの安全性は確立していません。
- 喫煙される方の場合、血行が悪くなるため、治癒の遅れや治療効果の低下を招くことがあります。
- 糖尿病の方や喫煙される方でエムドゲインを用いた治療をご希望の方は、歯科医師とご相談いただき、状況によっては治療できない場合があります。










